Úmrtiam na zápal pľúc sa da predchádzať očkovaním proti pneumokokovým infekciám

Viac ako 2 500 ľudí ročne na Slovensku zomrie na následky sezónnych respiračných infekcií. Ide predovšetkým o ľudí nad 65 rokov a chronicky chorých pacientov. Seniorov ohrozuje aj pneumokokový zápal pľúc, pred ktorým je možné sa efektívne brániť. Odborníci odporúčajú ako najúčinnejšiu prevenciu očkovanie. Pre klientov zariadení sociálnych služieb je povinné. Očkovanie nie je viazané na ročné obdobie a vakcína môže byť podaná kedykoľvek počas celého roka.
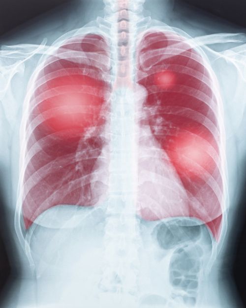
Liečba ochorení spôsobených pneumokokmi je najmä u seniorov a chronicky chorých komplikovaná a často málo účinná. Ani včas podaná úspešná antibiotická liečba nemusí byť zárukou, že sa pacient bude môcť rýchlo vrátiť do bežného života. Môže trvať niekoľko týždňov až mesiacov, kým sa telo úplne zotaví. Celosvetovo narastá aj lieková rezistencia voči pneumokokom. Navyše napríklad u starších ľudí, ktorí boli v minulosti hospitalizovaní a liečení na zápal pľúc, sa zvyšuje riziko srdcovocievnych ochorení. Komunitná pneumónia je typická vo vyšších vekových kategóriách populácie a v zariadeniach sociálnych služieb. „Pneumónia u seniora môže mať aj neobvyklé klinické prejavy a okrem kašľa, horúčky, dýchavice môže mať pacient zvýšený počet leukocytov, bolesť z dráždenia pohrudnice, zmätenosť/delírium už len pri zvýšenej teplote, nechutenstvo, inkontinenciu moču, náhle zmeny funkčného stavu a sprievodným javom sú aj pády. Prevencia pneumónií je veľmi dôležitá u rizikových skupín a spočíva vo vakcinácii proti chrípke a proti pneumokokovým invazívnym infekciám,“ uviedol MUDr. Štefan Laššán, PhD., MPH, pneumológ, prednosta Kliniky pneumológie, ftizeológie a funkčnej diagnostiky Slovenskej zdravotníckej univerzity a Univerzitnej nemocnice Bratislava.
Dlhá doba hospitalizácie
Štatistiky uvádzajú, že za 15 % všetkých úmrtí v ekonomicky vyspelých krajinách môžu ochorenia respiračného systému. Na Slovensku je to takmer 10 %. „V rebríčku najčastejších príčin hospitalizácie sa dlhodobo umiestňuje zápal pľúc – pneumónia. Infekcie dolných ciest dýchacích sú častou príčinou smrti a ročne kvôli nim zomrie v SR viac ako 2 500 ľudí. Podiel infekcie Streptococcus pneumoniae rastie so stupňom závažnosti pneumónie. Riziko hospitalizácie pre pneumokokovú pneumóniu prudko stúpa s vekom a najväčší počet pacientov je vo vekovej skupine nad 80 rokov. U osôb vo veku 65+ sa každou ďalšou komorbiditou riziko pneumokokovej pneumónie znásobuje v porovnaní so zdravými jedincami rovnakého veku. Ak je pridružená jedna choroba, riziko je zvýšené 2,1-krát, ak sú dve pridružené choroby, riziko je zvýšené 4,2-krát, keď sú pridružené štyri a viac chorôb, riziko je zvýšené 9,2-krát,“ spresnil MUDr. Š. Laššán. Riziko je vyššie u ľudí konzumujúcich vo zvýšenej miere alkohol, u astmatikov, u pacientov s chronickými kardiovaskulárnymi ochoreniami, chronickými ochoreniami pečene, chronickými ochoreniami pľúc, diabetikov, ale aj u fajčiarov. Vírusy chrípky oslabujú imunitnú odpoveď, a tým umožňujú inváziu kolonizujúcich baktérií. Streptococcus pneumoniae tak má významnú úlohu pri vzniku sekundárnej infekcie po ochorení spôsobenom vírusom chrípky alebo iným vírusovým ochorením dýchacích ciest.
„Hoci sa prípady pneumokokových infekcií objavujú počas celého roka, k signifikantnému vzostupu dochádza od jesene do jari. Súbežný maximálny výskyt akútnych respiračných ochorení (ARI) a pneumokokových infekcií je dobre zdokumentovaný. Až 35 % prípadov chrípkových ochorení prejde do bakteriálnej infekcie, ktorá môže zvýšiť hospitalizáciu pacientov a úmrtnosť. V prípade chrípky rastie významne riziko následného vzniku zápalu pľúc vyvolaného pneumokokmi,“ zdôraznil MUDr. Laššán, prednosta Kliniky pneumológie, ftizeológie a funkčnej diagnostiky SZU a UN Bratislava.
Medzi chrípkou a pneumokokovými infekciami existuje priama súvislosť. Prednosta dodal: „Očkovanie proti chrípke a pneumokokovi – spoločná ochrana dáva zmysel. Očkovanie proti chrípke je najvhodnejšie vykonať v priebehu októbra až decembra, pred začiatkom zvýšenej aktivity chrípkových vírusov, ale očkovať je možné aj neskôr počas chrípkovej sezóny. Ochranný efekt očkovania nastupuje po 10 až 14 dňoch. Organizmus oslabený chrípkou ľahko podlieha sekundárnym infekciám bakteriálneho pôvodu, ku ktorým patrí napríklad zápal pľúc, zápal priedušiek, zápal stredného ucha či centrálneho nervového systému. Komplikácie ochorenia sa častejšie vyskytujú u veľmi malých detí, u 65-ročných a starších a u osôb s chronickými chorobami. Súčasne s vakcínou proti chrípke alebo počas celého roka je možné podať vakcínu proti pneumokokovým infekciám. Ochranný účinok vakcíny nastupuje 14 dní po podaní. Zaočkovanie konjugovanou 13-valentnou pneumokokovou vakcínou zlepšuje prežívanie u seniorov s komunitnou pneumóniou.“
Baktéria Streptococcus pneumoniae sa prenáša kvapôčkovou infekciou a môže spôsobiť život ohrozujúce invazívne ochorenia, ako je meningitída, sepsa alebo pneumokokový zápal pľúc.
Na Slovensku je zápal pľúc 11. najčastejšou príčinou hospitalizácie a zároveň patrí medzi ochorenia s najdlhšou ošetrovacou dobou v nemocnici. Priemerná doba hospitalizácie je 12 dní. Pneumónia patrí medzi časté príčiny hospitalizácie aj v ostatných vyspelých krajinách.
Inkubačná doba je 1 až 3 dni
Ochorenia dýchacej sústavy sú treťou najčastejšou príčinou úmrtí, hneď po kardiovaskulárnych a onkologických ochoreniach. „Stopercentná zaočkovanosť cieľovej populácie dospelých na Slovensku proti pneumokokom by podľa výpočtov zabránila 4 500 prípadom pneumokokového zápalu pľúc a z toho 600 úmrtiam ročne. Zápal pľúc spôsobený baktériou Streptococcus pneumoniae je vážne ochorenie, ktoré môže byť život ohrozujúce, a liečba je náročná. Najviac prípadov ochorenia sa vyskytuje v zime, čo je spôsobené zníženou obranyschopnosťou organizmu, zvýšeným výskytom chorôb dýchacieho ústrojenstva a rýchlym a ľahkým prenosom baktérií kvapôčkami. Inkubačná doba – čas od nákazy po vypuknutie prvých príznakov – sa odhaduje na 1 až 3 dni. Ide o infekčné ochorenie, znamená to, že nie je možné dostať zápal pľúc len z prechladnutia,“ povedala MUDr. Katarína Dostálová, pneumologička, Bratislava.
Najmä u rizikových skupín, kvôli ich zhoršenej imunitnej schopnosti, hrozia komplikácie, ktoré môžu viesť k hospitalizácii alebo úmrtiam. Pokiaľ sa títo ľudia očkujú, vytvorí sa dostatočná imunitná odpoveď na to, aby ochorenie aj v prípade, že sa nakazia, prekonali s miernejším priebehom. V odborných kruhoch existuje konsenzus, že je lepšie pneumokokovej pneumónii predchádzať, než sa spoliehať na liečbu. Dostupnou prevenciou je práve očkovanie proti pneumokokovým infekciám. O to viac, že zápal pľúc postihuje 35 000 Slovákov ročne.
Očkujme v zariadeniach sociálnych služieb
Baktéria Streptococcus pneumoniae má významnú úlohu pri vzniku sekundárnej infekcie po ochorení spôsobenom vírusom chrípky alebo inom vírusovým ochorením dýchacích ciest. „V prípade chrípky rastie riziko následného vzniku zápalu pľúc vyvolaného pneumokokmi približne stonásobne. Riziko hospitalizácie na pneumokokovú pneumóniu stúpa priamo úmerne s vekom. U ľudí nad 80 rokov je výskyt takmer 6-krát vyšší než u ľudí do 64 rokov,“ poukázala na skutočnosti MUDr. Soňa Ostrovská, všeobecná lekárka pre dospelých, Bratislava.
V porovnaní so zdravými ľuďmi sa riziko pneumokokovej pneumónie priamo úmerne zvyšuje s každou ďalšou komorbiditou. Rizikovým prostredím sú kolektívy. „Osoby umiestnené v zariadeniach sociálnych služieb sú vystavené zvýšenému nebezpečenstvu pneumokokových invazívnych infekcií, preto sa im podľa Vyhlášky Ministerstva zdravotníctva SR indikuje očkovanie povinne. Pred zápalom pľúc spôsobeným pneumokokom (pneumokoková pneumónia) je možné sa chrániť očkovaním. Treba apelovať najmä na seniorov a chronicky chorých pacientov, aby využili túto účinnú, plne hradenú formu prevencie. V období chrípkovej očkovacej sezóny je možné podať vakcínu proti chrípke súbežne s vakcínou proti pneumokokom počas jednej návštevy lekára, každú do iného ramena. Očkovanie proti pneumokokom je však možné absolvovať kedykoľvek počas celého roka,“ doplnila všeobecná lekárka pre dospelých.
Očkovanie proti pneumokokom a chrípke počas jednej návštevy lekára
Prečo očkovať? „Znamená to ochranu pacientov pred infekčným ochorením, zabránenie vzniku komplikácií, zníženie rizika šírenia infekčných ochorení, zachovanie práceschopnosti, znižovanie nákladov na liečbu, ambulancia znižuje svoje pracovné zaťaženie. Samozrejme lekár pacienta informuje, proti čomu ho ide očkovať, odporučí mu , že 1 – 2 dni po očkovaní by sa nemal vystavovať väčšej psychickej ani fyzickej záťaži, v deň očkovania by nemal očkovaný piť alkohol a tiež ho informuje o možných očakávaných reakciách a nežiaducich účinkoch očkovania s tým, že mu pacient má prípadné akékoľvek neočakávané reakcie hlásiť,“ priblížil praktickú stránku očkovania MUDr. Peter Lipovský, všeobecný lekár pre dospelých Malinovo, viceprezident Slovenskej spoločnosti všeobecného praktického lekárstva.
Niektorí pacienti pri očkovaní dostanú ortostatický kolaps, ktorý je spôsobený najmä strachom z očkovania. Dá sa mu predísť očkovaním pacienta v ľahu na vyšetrovacom lôžku. „Proti pneumokokom sa očkuje 13-valentnou vakcínou. Je určená pre dospelých od 18 rokov a starších. Podáva sa jedna jednorazová dávka. Potreba preočkovania ďalšou dávkou nebola stanovená. Ďalej je proti pneumokokom k dispozícii 23-valentná vakcína. Očkujú sa dospelí a zdravé dospelé osoby sa bežne nemusia preočkovávať. Preočkovanie sa môže zvážiť u osôb so zvýšeným rizikom závažnej pneumokokovej infekcie, ktoré dostali pneumokokovú očkovaciu látku pred viac ako piatimi rokmi, alebo u tých, u ktorých je známe, že majú rýchly pokles hladín pneumokokových protilátok. U vybraných populácií (napr. asplenickí pacienti), u ktorých je známe vysoké riziko fatálnych pneumokokových infekcií, sa môže zvážiť preočkovanie po troch rokoch. Pneumokoková očkovacia látka sa môže podať súbežne s očkovacou látkou proti chrípke, pokiaľ sa použijú odlišné injekčné ihly a miesta podania injekcie. Pneumokoková vakcína je plne uhrádzaná zdravotnou poisťovňou u osôb od dovŕšenia veku 18 rokov: * dispenarizovaných pre chronické ochorenie dýchacích ciest, srdcovo-cievneho aparátu, s metabolickými, renálnymi a imunitnými poruchami; * u osôb pred splenektómiou s funkčnou alebo anatomickou aspléniou; * u osôb 59-ročných a starších,“ dodal MUDr. P. Lipovský.
Stále je zaočkovaných málo seniorov
Zabezpečenie pneumokokových a sezónnych očkovaní proti chrípke pre zraniteľné skupiny obyvateľstva je tiež súčasťou odporúčaných opatrení Svetovej zdravotníckej organizácie (WHO).
„Mimoriadne pravidlá platia pre rizikovú skupinu – seniorov žijúcich v kolektívoch, ktoré predstavujú rizikové prostredie z pohľadu rýchlosti šírenia infekčných ochorení. Podľa § 7 Vyhlášky MZ SR č. 585/2008 Z. z., ktorou sa ustanovujú podrobnosti o prevencii a kontrole prenosných ochorení, platí na Slovensku povinné očkovanie proti chrípke a pneumokokom pre klientov zariadení sociálnych služieb. Napriek tejto povinnosti je z celkového počtu osôb umiestnených v zariadeniach sociálnych služieb očkovaných len približne 25 % klientov,“ spresnil MUDr. Tomáš Szalay, PhD., lekár Bratislavského samosprávneho kraja. Odborníci upozorňujú aj na význam očkovania blízkych kontaktov pacienta – zdravotníckeho personálu a rodinných príslušníkov.
„Na opodstatnenosť a povinnosť očkovať klientov zariadení sociálnych služieb proti pneumokokom upozorňujeme zariadenia v našej pôsobnosti pravidelne. Aj túto sezónu, pri náraste chrípky a chrípke podobných respiračných ochorení, je tento apel ešte nástojčivejší,“ zdôraznil T. Szalay.